ΥΓΕΙΑ
-
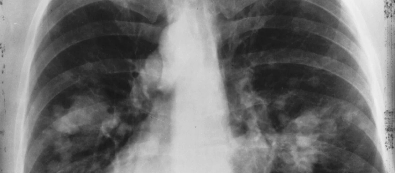
Χρόνια Αποφρακτική Πνευμονοπάθεια: Αυξάνονται σε παγκόσμιο επίπεδο τα ποσοστά
Αν και τα ποσοστά της Χρόνιας Αποφρακτικής Πνευμονοπάθειας (ΧΑΠ) έπεσαν στις περισσότερες χώρες μεταξύ του 1995 και του 2017, το συνολικό ποσοστό θανάτων από ΧΑΠ αυξάνεται σε πολλές χώρες τα τελευταία...
Read More » -
Οι χρήσεις του καλσόν που δεν ξέρατε ότι έχει
Τι κι αν σας έφυγε πόντος στο καλσόν! Μην αφήνετε αυτή τη μικρή καταστροφή να σας χαλάσει την ημέρα ή τη διάθεση! Γιατί; Δεν φαντάζεστε πόσα πράγματα μπορείτε να κάνετε με το παλιό –πλέον– καλσόν σας....
Read More » -
Τι συμβαίνει στον οργανισμό μας όταν μας λείπει βιταμίνη D;
Οι επιστήμονες αποκάλυψαν νέες ιδέες για το πώς η βιταμίνη D επηρεάζει το ανοσοποιητικό σύστημα και και ενδέχεται να επιδρά στην ευπάθεια σε νόσους όπως η πολλαπλή σκλήρυνση σύμφωνα με δημοσίευση που ...
Read More » -
Κουρκουμάς: Η υπερτροφή που μπήκε στην κουζίνα μας
Όλοι ξέρουμε τα κλασικά superfoods, όπως οι σπόροι chia, τα goji berries και η σπιρουλίνα. Τι θα έλεγες όμως, εάν σου λέγαμε πως πλέον superfood θεωρείται και ένα προϊόν, το οποίο δεν κοστίζει σε καμί...
Read More » -
Τι παθαίνουν τα μάτια μας όταν κοιμόμαστε;
Για πρώτη φορά οι επιστήμονες κατέγραψαν τη δραστηριότητα μεμονωμένων εγκεφαλικών κυττάρων (νευρώνων) στη διάρκεια του ύπνου και της φάσης REM των ονείρων και κατέληξαν στο συμπέρασμα ότι όταν τα μάτι...
Read More » -
Η πρώτη αιτία θνησιμότητας στην Ελλάδα - Πώς θα μειωθούν οι θάνατοι από αυτήν;
Με καρκίνο του πνεύμονα διαγνώστηκαν στην Ελλάδα 9.964 άτομα το 2018, με την πλειοψηφία των κρουσμάτων (7.862) να αφορούν στους άνδρες. Πρόκειται για την πρώτη αιτία θανάτου από καρκίνο στη χώρα μας, ...
Read More » -
Αυτός είναι ο καφές που ρίχνει την χοληστερίνη
Εάν έχεις υψηλή χοληστερίνη ή εάν τρέμεις μήπως αποκτήσεις, σίγουρα θα ψάχνεις κατά καιρούς τρόπους να τη μειώσεις μέσω της διατροφής σου ή των καθημερινών σου συνηθειών. Το ήξερες ότι μπορείς να αρχί...
Read More » -
Αυτό είναι το φάρμακο που καταπραΰνει την ημικρανία
Οι πάσχοντες από ημικρανία που δεν μπορούν να ανακουφιστούν από τα υπάρχοντα φάρμακα, ενδέχεται να έχουν σύντομα μία νέα θεραπευτική επιλογή στη διάθεσή τους. Mελέτη που πραγματοποιήθηκε με τη συμμετο...
Read More » -
ΕΟΔΥ: Πώς μπορείτε να κάνετε δωρεάν εξετάσεις αίματος
Στο πλαίσιο της Ευρωπαϊκής Εβδομάδας Εξέτασης (22-29 Νοεμβρίου 2019), ο Εθνικός Οργανισμός Δημόσιας Υγείας (ΕΟΔΥ) πραγματοποιεί δράσεις και δωρεάν εξετάσεις για τον ιό HIV.Συμμετέχοντας στην Ευρωπαϊκή...
Read More » -
Τι είναι οι πέτρες στη χολή και πως τις αντιμετωπίζετε;
Οι πέτρες στην χολή (χολόλιθοι) είναι επί της ουσίας υπολείμματα πεπτικών υγρών που σκληραίνουν και μπορεί να πάρουν την μορφή μικρών ογκιδίων στην χοληδόχο κύστη σας. Πρόκειται για ένα μικρό, σε σχήμ...
Read More »